Whiteningホワイトニング
気になる歯の色
歯の色を気にされているのは、あなただけではありません。皆さんにお口のことで満足していないことをお聞きした結果、(2004年 ジーシー実施国民意識調査より)60%を超える方が歯の色に不満を持っていることがわかりました。
しかし、ほとんどの場合はホワイトニングによって改善することができるのです。
よりきれいな歯になりたい ~選べる2つの方法~

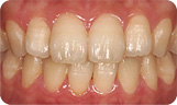
白く輝く歯は魅力的ですね。でも歯の色は生活習慣や年齢とともに黄色く変色してきます。「自然で透明感のある白い歯になりたい」、「思いっきり笑いたい」、「印象を良くしたい」、そんな想いにこたえることができる1つの手段(治療法)として、歯のホワイトニングがあります。
歯のホワイトニングは、歯の表面に専用のジェルを塗り、化学的に白くする簡単な方法です。歯科医院でその日のうちにホワイトニング効果を得る「オフィスホワイトニング」と、ご自宅でマウストレーにホワイトニングジェルを塗布して決められた時間、継続的に装着することによってホワイトニング効果を得る「ホームホワイトニング」の2種類があります。


当院では、『費用対効果』、『安全性』、『色が長持ちする』、『何度も使用できる』といったメリットからホームホワイトニングを推奨しております。
施術の流れを簡単にご説明しますと、歯科衛生士によるカウンセリングののち、歯の撮影・型取りを行い、ご自分の歯列(歯並び)にあった専用のマウストレーを作ります。ご自宅でマウストレーにホワイトニングジェルを塗布して、毎日決められた時間トレーを装着するだけの簡単で安全な方法です。およそ2週間で効果が出ると言われています。
より詳しくお話が聞きたい方は、是非ご来院いただきお気軽に医院スタッフにお声がけください。
→ホワイトニングQ&Aはこちら
ホームホワイトニング「ティオン ホーム」
![]()
ティオンホームは、ジェルの性状やトレーの素材を工夫し快適にご使用いただけるホームホワイトニング材です。
一言でいうと日本人に合わせて作られたホームホワイトニングジェルです。早く効率的に白くなりたいという人には向きませんが、日本製で安心感があり、自然な白さが特徴です。ホワイトニング成分である過酸化尿素の濃度は10%で、ほかの欧米の製品と比べると弱いですが、均一に広がる流動性に優れていて、少ない量で均一に歯の表面にいきわたります。また温度・湿度の高い口腔内から流れ出にくく、安心してお使いいただけます。
実際のやり方
❶歯磨き
歯の表面に汚れがついていると白さにムラが出来てしまいます。ホワイトニング前に歯磨きをしてしっかり汚れを落としましょう。
➋ジェルの塗布
ジェルをマウスピースの内側に入れます。目安としては「1歯につき、米2~3粒分」です。入れ過ぎると歯茎に付着して痛みが出る場合があります。マウスピースには上側の歯用と下側の歯用があるのですが、下の歯は上の歯より小さいので気持ち少なく入れるようにしましょう。
❸マウスピースの装着
ジェルを入れたらなるべく早く歯にはめましょう。装着後、もし歯茎に薬剤がついてしまったら、ティッシュで優しく拭きとってください。
❹ホワイトニング
「約2時間」装着します。その間、運動や食事など噛みしめる動作などはマウスピースが壊れる原因になるので控えましょう。長くやりすぎると、ジェルが効きすぎてしみることがあります。使用時間を守ってもしみるなどした場合は、使用を控えるか医院スタッフにご相談ください。
❺よく口をゆすぎ、再度歯磨き
2時間経ったらマウスピースを外して口の中をゆすぎましょう。薬剤が残ると歯や歯茎が痛んだりするので、「軽めに優しく」ブラッシングしましょう。歯磨き粉に制限はありませんが、ホワイトニング直前の歯磨き時に使用したのであれば、ホワイトニング後は不要です。
❻マウスピースの洗浄
マウスピースは使用後忘れずに洗いましょう。熱湯で洗うとマウスピースが変形してしまうことがあるので水洗いをします。洗ったマウスピースは自然乾燥させて専用のケースなどに入れ保管しましょう。水分が残ったまま保管すると細菌繁殖の原因になります。
❼2週間継続
およそ「2週間」で効果が出ると言われています。ただ効果が出るのは個人差がありますので、あくまで目安となります。
ホワイトニングメーカーの使用説明書には、個人の生活習慣により「早くて半年から1年」で徐々に後戻りしてくると、記載されています。色が戻り始めたと実感したら、半年に1度、後戻り防止のためのホワイトニングを行うことをお勧めしています。このように「必要に応じて、いつでも」ホワイトニングができるのは、ホームホワイトニングの最大のメリットです。オフィスホワイトニングではこうはいきません。再度費用がかかる、来院し施術する必要が出てくる、と思ってください。
ホワイトニングの効果を最大限得るために、ホワイトニングの直前直後1時間は飲食を控えましょう。またホワイトニング中の約2週間は着色しやすいものは控えるようにしましょう。例えば、カレー、ワイン、コーヒー、紅茶、お茶、柑橘類、ブルーベリー、ケチャップなど調味料類にも制限がかかる場合があります。
歯が白くなるメカニズム
ホワイトニングジェルに含まれる過酸化尿素には、歯を傷めることがなく内部の色素を細かく分解する力があります。継続的に作用させることによって、より深いところの色素まで分解して歯を白くすることができます



歯に色がつく理由
コーヒー、お茶、タバコ等による変色
色素が歯の内部まで取り込まれることにより、歯が黄色く見えてしまいます。

加齢による変色
年齢を重ねるにしたがって、人の歯は自然と黄色く変色していきます。

全身疾患に由来する変色
胎児の時期に、母親が服用した抗生物質や過剰に摂取したフッ素などの影響により歯が変色してしまうことがあります。
これらの要因により歯が変色してしまった場合には
「ホワイトニング」で改善することができます。
※変色の程度によってはホワイトニングの効果が期待できない場合がありますので、歯科医師へご相談ください。











